Φωτογραφίες

Δόντια σε μία ημέρα

Η ασθενής προσήλθε στο ιατρείο αναζητώντας λύση για την άνω και κάτω γνάθο. Μετά από ακτινολογικό και κλινικό έλεγχο και με την σύμφωνη απόφαση της ασθενούς αποφασίστηκε η εξαγωγή όλων των δοντιών. Σε μία μέρα αφαιρέθηκαν τα δόντια και τοποθετήθηκαν 4 εμφυτεύματα ανά γνάθο. Κατόπιν ελήφθησαν αποτυπώματα (μέτρα) και την επομένη μέρα τοποθετήθηκε σταθερή προσωρινή γέφυρα. Μετά από 4 μήνες η μεταβατική γέφυρα αντικαταστάθηκε από σταθερή μεταλλο-κεραμική γέφυρα.

Δόντια σε μία ημέρα

Ο ασθενής προσήλθε στο ιατρείο αναζητώντας λύση για την άνω και κάτω γνάθο. Στην άνω υπήρχε μασελάκι και κάτω φυσικά δόντια που έπρεπε να αφαιρεθούν. Μετά από ακτινολογικό και κλινικό έλεγχο και με την σύμφωνη απόφαση του ασθενούς αποφασίστηκε η εξαγωγή όλων των δοντιών. Δεδομένου ότι ο ασθενής ήθελε άμεση αποκατάσταση με σταθερά δόντια, αποφασίστηκε η τοποθέτηση οδοντικών εμφυτευμάτων. Σε μία επίσκεψη αφαιρέθηκαν τα δόντια και με την χρήση χειρουργικού νάρθηκα τοποθετήθηκαν 12 εμφυτεύματα άνω και κάτω. Κατόπιν ελήφθησαν αποτυπώματα (μέτρα) και την επομένη μέρα τοποθετήθηκε σταθερή προσωρινή γέφυρα, η οποία θα παρέμεινε στο στόμα για 4 μήνες. Στην συνέχεια τοποθετήθηκε οριστική μεταλλοκεραμική γέφυρα.

Δόντια σε μία ημέρα

Η ασθενής προσήλθε στο ιατρείο αναζητώντας λύση για την άνω και κάτω γνάθο. Μετά από ακτινολογικό και κλινικό έλεγχο και με την σύμφωνη απόφαση της ασθενούς αποφασίστηκε η εξαγωγή όλων των δοντιών. Σε μία μέρα αφαιρέθηκαν τα δόντια και τοποθετήθηκαν 4 εμφυτεύματα ανά γνάθο. Κατόπιν ελήφθησαν αποτυπώματα (μέτρα) και την επομένη μέρα τοποθετήθηκε σταθερή προσωρινή γέφυρα. Μετά από 4 μήνες η μεταβατική γέφυρα αντικαταστάθηκε από σταθερή μεταλλο-κεραμική γέφυρα.

Δόντια σε μία ημέρα

Πριν
Μετά

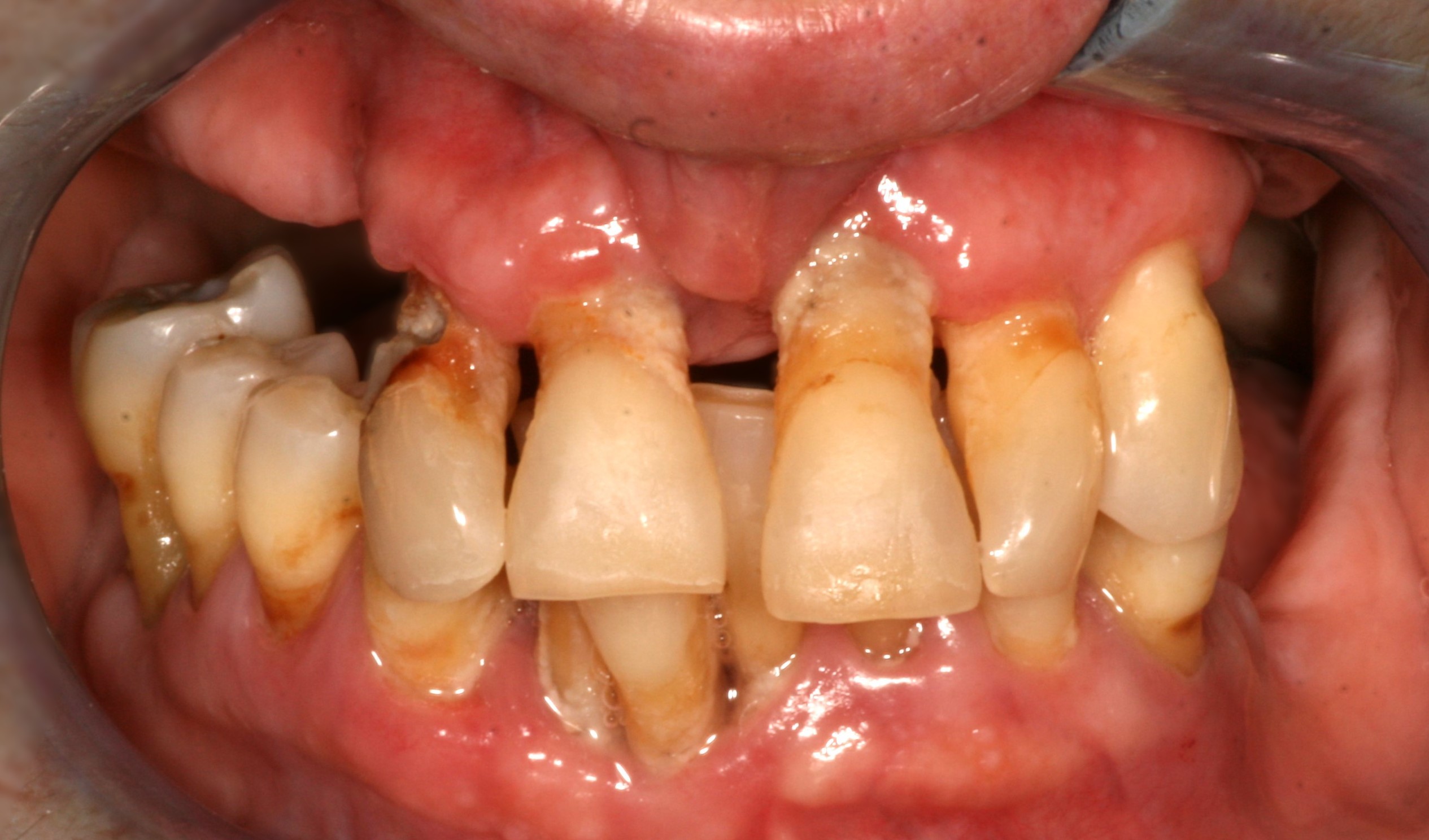
O ασθενής προσήλθε στο ιατρείο αναζητώντας λύση για την άνω γνάθο, όπου υπήρχαν παλιές σπασμένες γέφυρες. Μετά από ακτινολογικό και κλινικό έλεγχο και με την σύμφωνη απόφαση του ασθενούς αποφασίστηκε η εξαγωγή όλων των δοντιών της άνω γνάθου. Σε μία επίσκεψη αφαιρέθηκαν τα δόντια της άνω γνάθου και με την χρήση χειρουργικού νάρθηκα τοποθετήθηκαν 4 εμφυτεύματα. Κατόπιν ελήφθησαν αποτυπώματα (μέτρα) και την επομένη μέρα τοποθετήθηκε σταθερή προσωρινή γέφυρα, η οποία θα παραμείνει στο στόμα για 4 μήνες.

Δόντια σε μία ημέρα

Πριν
Μετά

Η ασθενής προσήλθε στο ιατρείο αναζητώντας λύση για την άνω και κάτω γνάθο. Μετά από ακτινολογικό και κλινικό έλεγχο και με την σύμφωνη απόφαση της ασθενούς αποφασίστηκε η εξαγωγή όλων των δοντιών. Σε μία μέρα αφαιρέθηκαν τα δόντια και τοποθετήθηκαν 4 εμφυτεύματα ανά γνάθο. Κατόπιν ελήφθησαν αποτυπώματα (μέτρα) και την επομένη μέρα τοποθετήθηκε σταθερή προσωρινή γέφυρα. Μετά από 4 μήνες η μεταβατική γέφυρα αντικαταστάθηκε από σταθερή μεταλλο-κεραμική γέφυρα.

Ολοκεραμικές όψεις - IPS e.max

O ασθενής, 45, επισκέφθηκε το ιατρείο επιθυμώντας να βελτιώσει το χρώμα και το σχήμα των άνω προσθίων δοντιών. Προτάθηκαν λεύκανση και έξι όψεις πορσελάνης. Ο ασθενής αποδέχθηκε το σχέδιο θεραπείας και έγινε λεύκανση πριν την κατασκευή των όψεων. Ακολούθησε η συντηρητική προετοιμασία των δοντιών. Στην επόμενη επίσκεψη οι όψεις πορσελάνης συγκολλήθηκαν μόνιμα στα δόντια. .

Ολική αποκατάσταση άνω με εμφυτεύματα και ολοκεραμική γέφυρα

Δόντια σε μία ημέρα

Ο ασθενής προσήλθε στο ιατρείο αναζητώντας λύση για την άνω γνάθο. Τα δόντια έπρεπε να εξαχθούν και ο ασθενής ζήτησε σταθερή αποκατάσταση από την πρώτη μέρα. Σε μία μέρα αφαιρέθηκαν τα δόντια της άνω γνάθου και τοποθετήθηκαν 6 εμφυτέυματα. Κατόπιν ελήφησαν αποτυπώματα (μέτρα) και την ίδια μέρα τοποθετήθηκε σταθερή προσωρινή γέφυρα. Μετά από 4 μήνες η μεταβωατική γέφυρα αντικαταστάθηκε από σταθερή γέφυρε ολοκεραμική (Ζιρκονία).

Ολοκεραμικές όψεις - IPS e.max

Η ασθενής, 28, επισκέφθηκε το ιατρείο θέλοντας ένα πιό φωτεινό και συμμετρικό χαμόγελο. Της προτάθηκαν λεύκανση και τέσσερεις όψεις πορσελάνης για να αλλάξει το σχήμα και χρώμα των άνω προσθίων δοντιών της. Η ασθενής αποδέχθηκε το πλάνο και έγινε λεύκανση πριν την κατασκευή των όψεων. Ακολούθησε η συντηρητική προετοιμασία των δοντιών. Στην επόμενη επίσκεψη οι όψεις πορσελάνης συγκολλήθηκαν μόνιμα στα δόντια. .

Ολοκεραμικές στεφάνες - Zirconia

Ο ασθενής προσήλθε στο ιατρείο διότι δεν ήταν ικανοποιημένος με την εμφάνιση των δύο προγομφίων άνω δεξιά. Τα δόντια είχαν παλιά σφραγίσματα αμαλγάματος και έντονη δυσχρωμία. Προτάθηκαν δύο στεφάνες πορσελάνης και ο ασθενής αποδέχθηκε το σχέδιο θεραπείας. Το δόντια προετοιμάστηκαν συντηρητικά και τοποθετήθηκαν άμεσα προσωρινές θήκες. Λίγες μέρες μετά δύο στεφάνες πορσελάνης άλλαξαν οριστικά την εικόνα του χαμόγελου του.

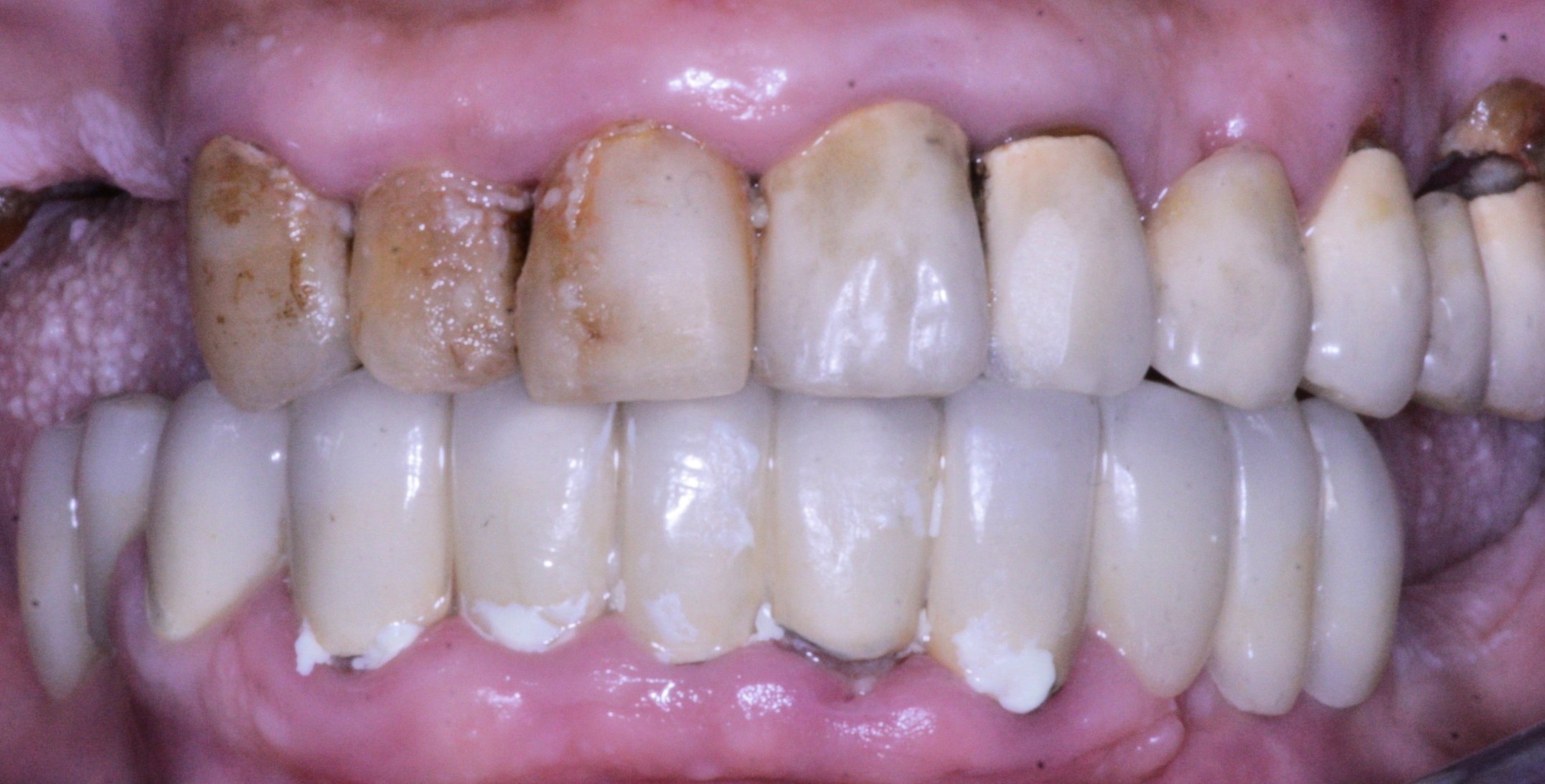
Άμεση φόρτιση επί εμφυτευμάτων

O ασθενής, 55,προσήλθε στο ιατρείο, διότι τα κάτω μπροστά δόντια του είχαν κινητικότητα και δεν τον ικανοποιούσαν αισθητικά και λειτουργικά (δεν μπορούσε να μασήσει σωστά). Μετά από κλινικό και ακτινογραφικό έλεγχο διαπιστώθηκε ότι τα τέσσερα μπροστινά κάτω δόντια έπρεπε να αφαιρεθούν. Ο ασθενής δεν ήθελε κινητή οδοντοστοιχία (μασέλα) και προτάθηκε θεραπεία με οδοντικά εμφυτεύματα κάτω και σταθερή γέφυρα. Σε μια συνεδρία αφαιρέθηκαν τα δόντια και τοποθετήθηκαν 2 εμφυτεύματα. Στην συνέχεια ελήφθησαν αποτυπώματα και την επόμενη ημέρα τοποθετήθηκε σταθερή μεταβατική γέφυρα. Μετά από 4 μήνες τοποθετήθηκε οριστική γέφυρα κάτω.

CTA

Επικοινωνήστε μαζί μας